Custom Cosmetic Denture solutions in Richmond, VA
Experience Secure, Natural-Looking Results with Specialist Prosthodontic Care

What are Removable Dentures?
Dentures are ‘false teeth’ and are prosthetic devices used to replace missing teeth.

Partial denture
Partial dentures are removable prosthetics used to replace multiple missing teeth while preserving the surrounding remaining natural teeth. Designed to blend seamlessly with your existing smile, they are typically supported by a lightweight metal base that clasps onto adjacent teeth. Partial dentures restore balance, improve function, and help prevent shifting of surrounding teeth, offering a practical and aesthetic solution for partial tooth loss.
Complete denture
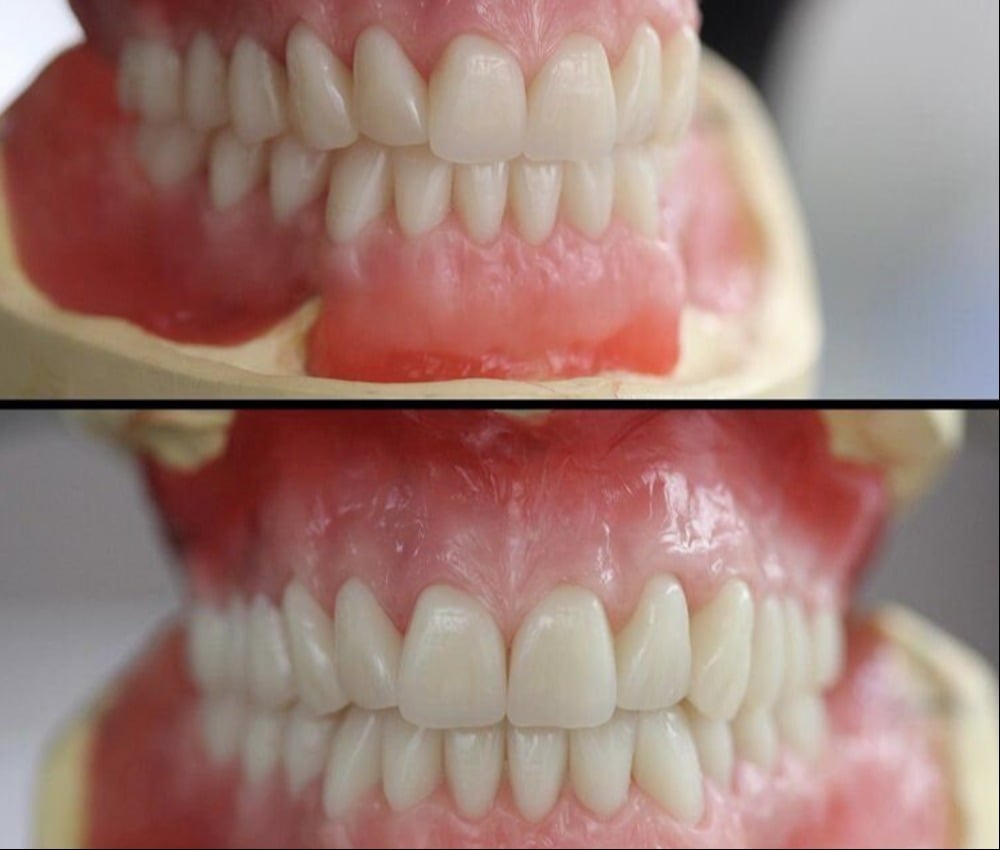
Prosthodontists are specialists in fabricating dentures. Complete dentures are custom-made removable prosthetic appliances designed to replace all missing teeth in the upper and/or lower arch. Crafted from high-quality acrylic or advanced composite materials, they restore not only the appearance of a full smile but also essential functions like chewing and speaking.
Modern techniques allow for a natural look, improved fit, and enhanced comfort—giving patients renewed confidence and facial support when all natural teeth are lost.
Complete dentures can sometimes be converted into implant supported hybrids for added stability and retention. For more information please call our office or see the implants section of the website.


Immediate Dentures
Immediate dentures are custom-made prosthetic appliances placed the very same day teeth are removed, allowing patients to leave surgery with a complete smile. They are carefully designed in advance using dental impressions taken before the extractions, so there is never a period without teeth.
While they provide the benefit of immediate appearance and function, the gums and bone naturally change shape as healing occurs. Because of this, immediate dentures often need adjustments, relining, and in most cases eventual replacement with a more permanent set to ensure the best long-term fit and comfort.
This transitional option helps maintain facial structure and confidence throughout the healing process, making it especially valuable for patients undergoing full-arch extractions.
Frequently asked questions
Most dental insurance providers cover some but rarely all of the cost of dentures. However, with an insurance pre-approval form filed by Advanced Dentistry of Richmond, it is easy to determine the specifics of what your policy will cover.
The denture development process will take a few weeks and several appointments. Once Dr. Klostermyer determines what type of appliance is best for you, the general steps are:
- A series of impressions of your edentulous arches have to be taken. Measurements of the relationship of your arches and how much space is between them have to be analyzed. High-quality denture teeth matching each patient facial features will be chosen from a variety of choices/forms/shades/shapes.
- Models in plaster are fabricated. A wax form, and/or acrylic patterns in the exact shape and position of the denture are made. This model denture will be tried in the mouth during the wax stage and will be assessed for color, shape, function (speech), and fit before the final dentures are manufactured.
- This manufacturing of a final denture will be performed by a dental laboratory.
- Adjustments will be made on the day of delivery of the denture and at the following appointments as necessary.
Until the muscles of the cheeks and tongue learn to keep new dentures in place they may feel a little odd or loose for a few weeks to the wearer and during that time he/she becomes more comfortable inserting and removing them. Also, it is not unusual for minor irritation or soreness to occur and for saliva flow to increase during the period of adaptation, but these problems will diminish as the mouth adjusts.
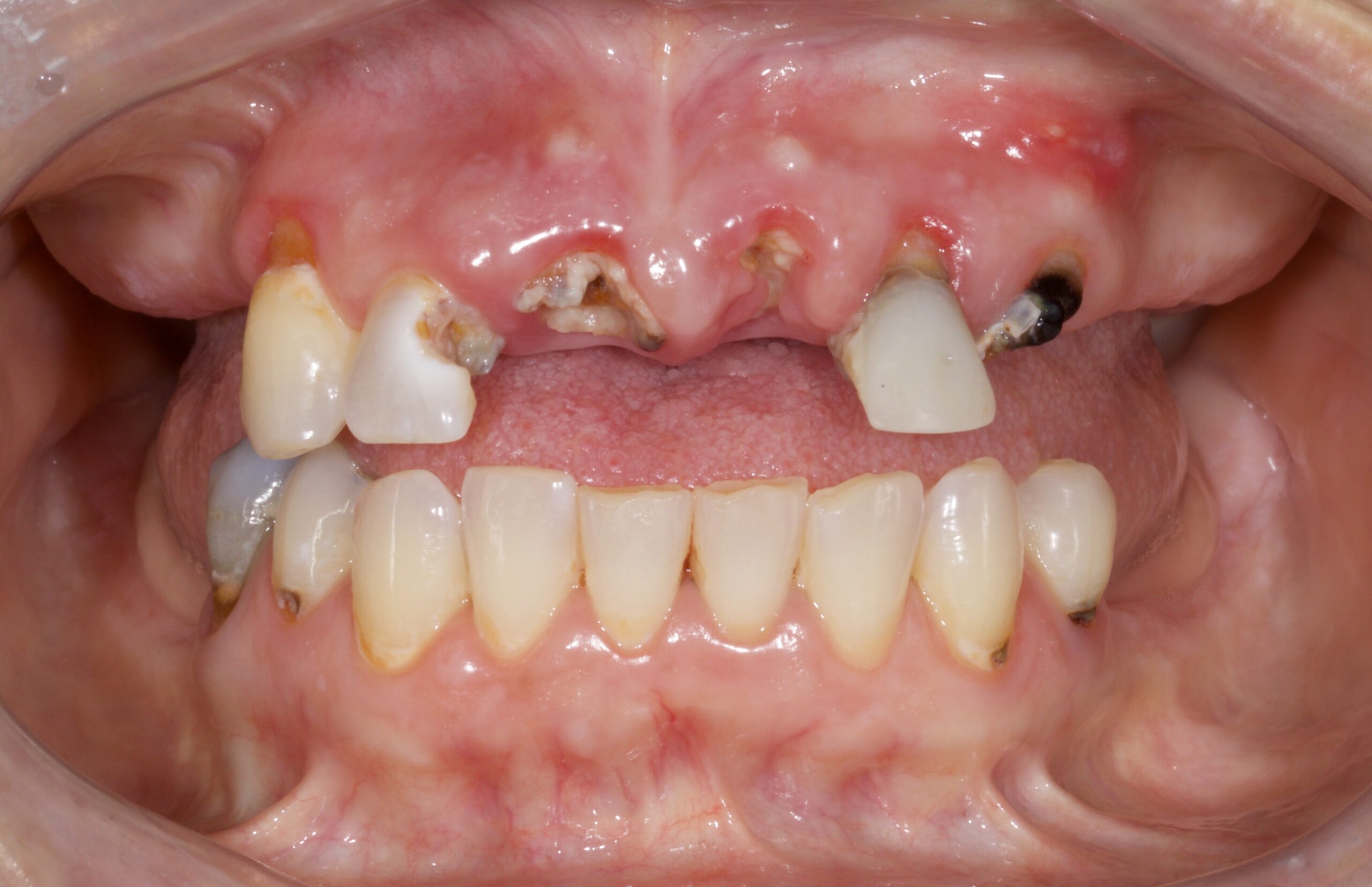
Usually, there is quite a change in the appearance of an edentulous person wearing a denture as opposed to not wearing one. Teeth play a key role in supporting the facial structure. A lack of teeth lets the facial structures around the lips and cheeks collapse. Dentures should be made to closely resemble natural teeth thus minimizing a change in facial appearance. In fact, dentures will improve your smile and enhance your facial features.
Eating with new dentures will take a little practice and may be uncomfortable for some wearers for a few weeks. To get used to the new denture, it is recommended to start with soft foods cut into small pieces. Chew slowly using both sides of the mouth. As one gets used to new dentures, other foods can be added until a normal diet is achieved. Caution should be taken with hot or hard foods, sharp-edged items such as shells as well as small seeds. Foods that are extremely sticky or hard should be avoided. Chewing gum is not recommended for denture wearers.
It might be difficult to pronounce certain words in the beginning. It might be helpful to practice by saying the difficult words out loud. With time and practice, one will become accustomed to speaking properly with dentures.
Dentures should not “click” while talking; if so – they will need adjustment. Dentures may occasionally slip when you laugh, cough, or smile. Reposition the dentures by gently biting down and swallowing.
During the first several days after receiving your denture, a patient may be asked to wear it all the time, including during sleep. Although this may lead to temporary discomfort, it is the quickest way to identify the areas on the denture that may need adjustment. Once adjustments are made, one should remove the dentures before going to bed. This allows the gum tissues to recover and receive normal stimulation and allows cleansing by the tongue and saliva. The denture can be used again in the morning.
One may use denture adhesive:
- To enhance satisfaction with a properly constructed denture. Adhesives enhance retention, stability, bite force, and an individual’s sense of security.
- To assist individuals with dry mouth conditions that lessen denture adherence, such as individuals having undergone radiation treatment, taking certain medications, those with neurologic disabilities including strokes, and the elderly.
- To provide added stability and security for those who place unusual demands on facial muscles, such as public speakers or musicians.
There are situations when denture adhesives should not be used. Those cases include:
- When it is used as a “fix” for ill-fitting or poorly constructed dentures. If dentures begin to feel loose, are uncomfortable, or cause sores to develop, they should be professionally adjusted.
- When the dentures have not been evaluated for a long time. Dentures rest on gum tissue and the jawbone, which shrink and deteriorate, respectively, over time. Therefore, the real problem might be a need for a denture adjustment or new dentures.
- When oral hygiene practices cannot be sustained.
- When adhesives have been used for a long time, especially when visits to the dentist are infrequent, and when the frequency and volume of the adhesive use increases. These developments may indicate the need for a denture adjustment or new dentures.
- When any known allergy exists to the adhesive’s ingredients.
- The minimum amount necessary is being used to provide the maximum benefit. An application of a small amount should be started with, and then gradually increase the amount until one feels comfortable.
- The adhesive should be applied thinly and evenly on the tissue-bearing surface of the denture.
- It could be applied or reapplied during the day to provide the desired effect.
- The dentures should be always thoroughly cleaned before application.
- And again: adhesives work best with a well-fitting denture.
Paste application: A small amount is applied to a dry or preferably wet denture. Placement of adhesive close to the denture borders should be avoided. If the adhesive oozes out, less of the product should be used.
Powder application: A thin, uniform layer throughout the tissue-bearing surface of the denture should be sprinkled on it. Excess powder needs to be shaken off and then the denture gets pressed into place.
Dental adhesives are safe as long as they are used as directed. With well-fitting dentures the adhesive is only used to provide added stability, there should be no ill effects. If adhesives are used excessively to fill voids for an ill-fitting denture, they can be harmful to the underlying soft and hard tissues. Occasionally, in these cases, inflammation of the soft tissues can result. In addition, because of its movement on the soft tissue and underlying bone, an ill-fitting denture can cause bone loss. As a result ill-fitting dentures often crack, fracture, and break.
Dentures should be cleaned regularly after eating. Dentures should be cleaned in a solution with a denture-cleaning tablet nightly. DO NOT brush your dentures with toothpaste as it is too abrasive. Although denture patients no longer have their natural teeth, they should see the dentist regularly to check the gum tissues and to ensure proper denture fit.