What is Sjogren’s Syndrome?


Sjögren’s Syndrome (SS)
Sjögren’s Syndrome (SS), first described in 1930 by Swedish ophthalmologist Henrik Sjögren, is a chronic autoimmune disease that gradually destroys moisture-producing glands and disrupts the body’s immune balance. Over time, this process leads to profound fatigue, cognitive difficulties, chronic pain, and—in severe cases—systemic complications that can significantly affect daily life and long-term health.
How Sjögren’s Syndrome impacts the body
At its core, SS targets the exocrine glands, reducing or eliminating the function of the salivary and lacrimal glands. Patients experience xerostomia (dry mouth) and keratoconjunctivitis sicca (dry eyes), which worsen as the inflammatory process progresses and glandular tissue is permanently damaged.
Beyond these hallmark symptoms, Sjögren’s is a multi-system disease. It may affect the kidneys, lungs, liver, pancreas, muscles, blood vessels, biliary system, and peripheral nervous system, often manifesting as widespread pain, extreme fatigue, diminished cognition, and gastrointestinal issues such as gastritis and GERD.

Oral health consequences
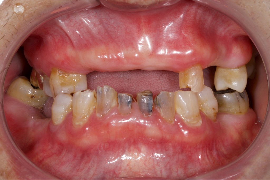
Dry mouth is among the most destructive complications of Sjögren’s. In a healthy mouth, saliva rinses away food particles, balances oral pH, and shields enamel against bacterial acids. In Sjögren’s patients, the absence of saliva keeps the oral environment persistently acidic, accelerating decay and weakening tooth enamel. When compounded by GERD, which introduces stomach acid into the oral cavity, the risk of rapid, severe tooth damage multiplies. Sticky bacterial plaque thrives under these conditions, eroding enamel and creating an ideal environment for cavities to form quickly and aggressively.
Protecting oral health while living with Sjögren’s syndrome
To safeguard their smiles, Sjögren’s syndrome patients must adopt rigorous daily oral care supported by professional management:
- Daily fluoride therapy through prescription toothpaste and rinses
- Rinsing with water after meals to neutralize acid and reduce bacterial buildup
- Saliva stimulation with sugar-free gum or lozenges
- Consideration of innovative devices like Voutia, which delivers a continuous, natural-feeling moisture stream to mimic saliva flow
Because decay progresses much faster in Sjögren’s patients, early intervention is essential. Any signs of enamel breakdown should be treated immediately, and frequent professional cleanings and evaluations are critical to preserving oral health and preventing long-term complications.