Dental Implants in Richmond, VA
Permanent Tooth Replacement & Full-Arch Restorations with Advanced Technology

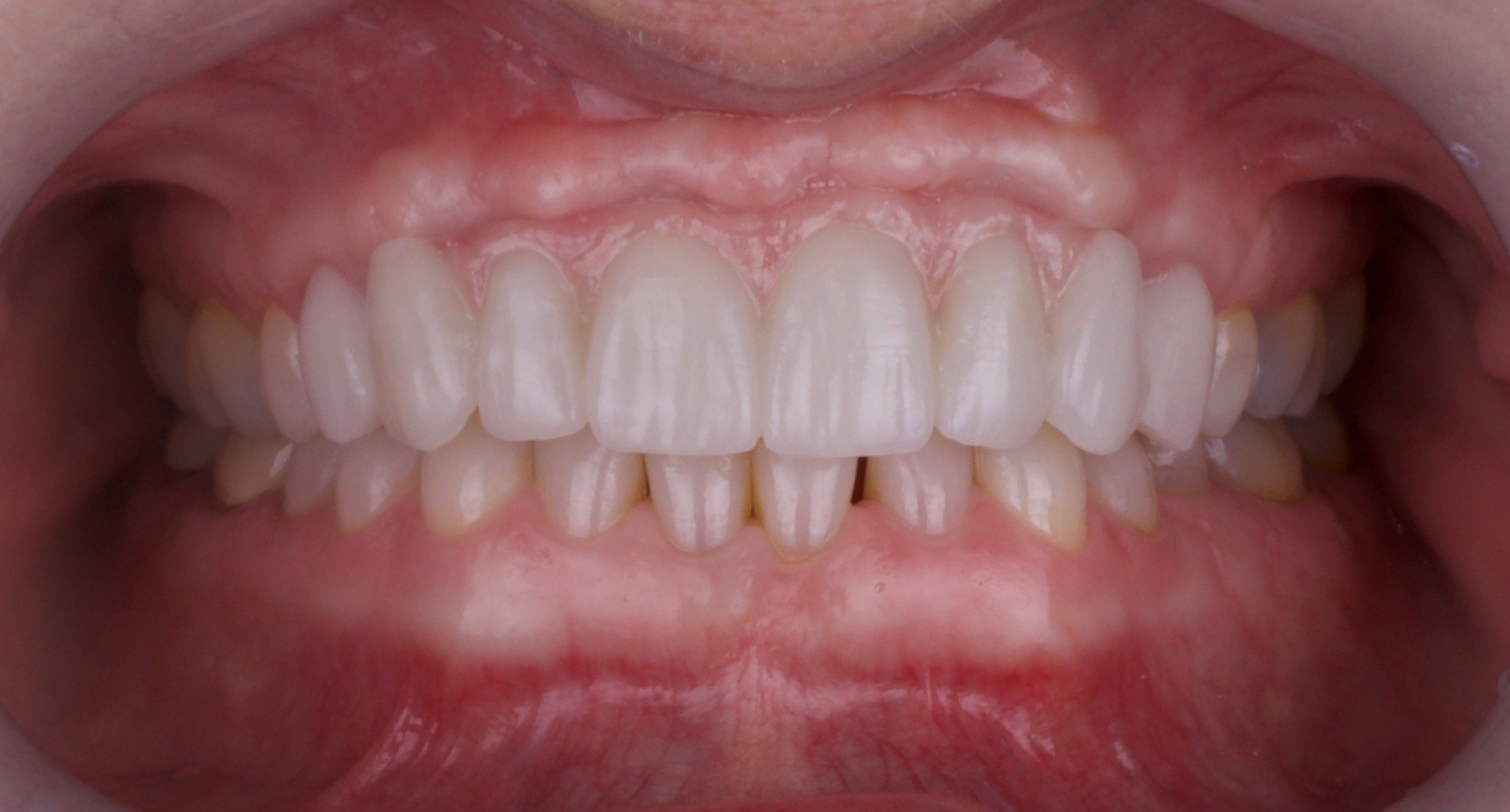
What are dental implants?
A dental implant is an artificial tooth root made from strong, safe materials.
It is placed in the jaw to hold a replacement tooth securely in place. Implants look, feel, and work just like natural teeth, allowing you to smile, speak, and eat with confidence. They are considered the gold standard for replacing single missing teeth or multiple missing teeth. We collaborate with the area’s leading oral surgeons to plan and complete implant cases with the highest level of precision and utilizing premium-grade materials designed for lasting performance.


Implant restorations include:
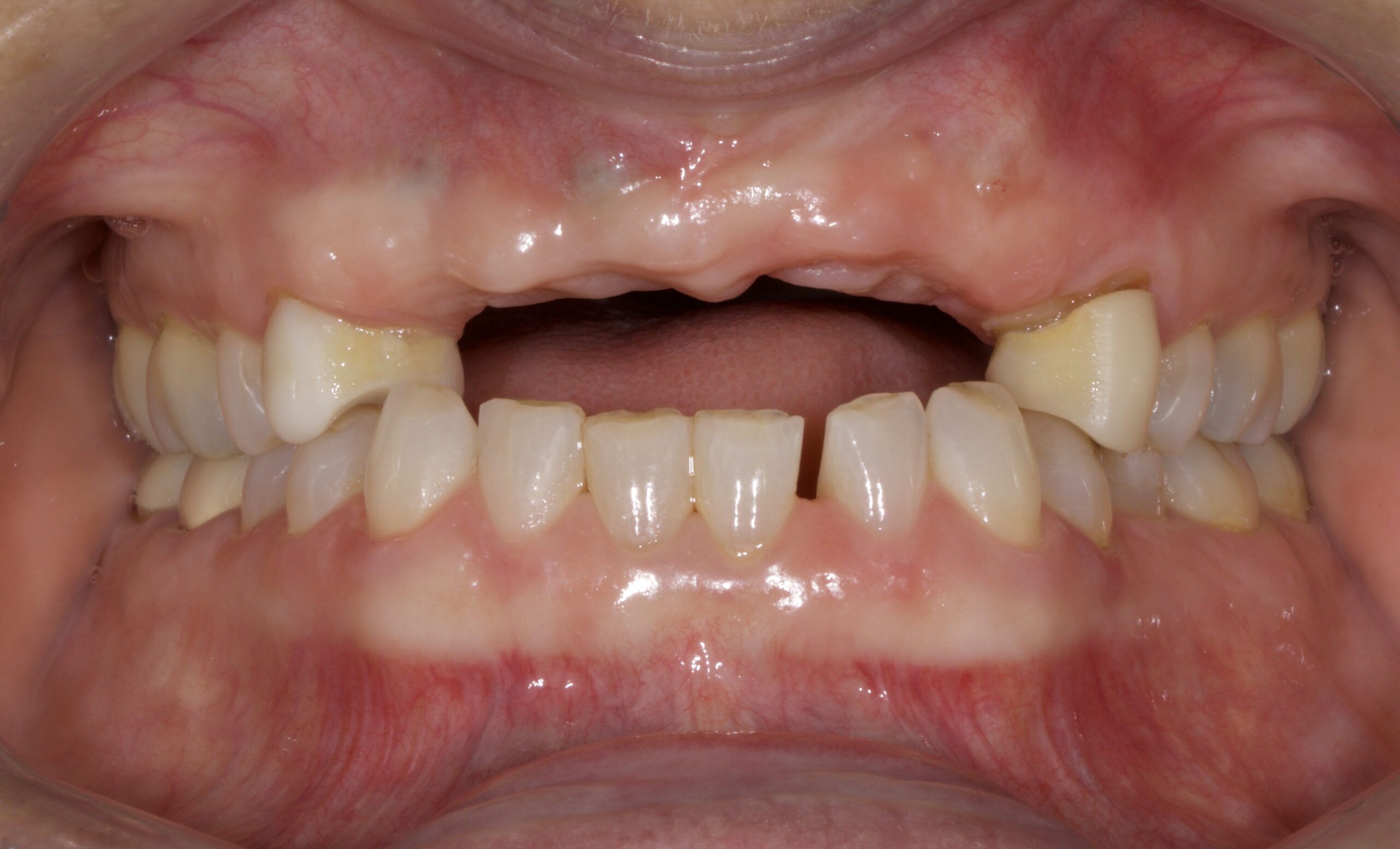
A single tooth implant is a permanent, natural-looking solution used to replace a single missing tooth. It consists of a biocompatible titanium post surgically placed into the jawbone, which functions like a tooth root.
Once healed, a custom-made crown is securely attached to the implant, restoring both function and aesthetics without affecting the surrounding teeth.
This treatment preserves bone health, maintains facial structure, and offers a long-lasting, highly aesthetic alternative to traditional bridges or removable prosthetics.

An implant-supported bridge is used to replace multiple missing teeth in a row. Instead of relying on natural teeth for support, the bridge is anchored to two or more dental implants placed strategically in the jaw.
This solution offers maximum stability, preserves bone health, and restores both function and aesthetics utilizing lifelike materials—without the need to prepare or involve adjacent natural teeth.
A locator overdenture uses small, specialized implant connections—often called “snaps”—to securely hold a denture in place. This added support gives the denture greater stability and comfort compared to a traditional, tissue-retained denture.
They are particularly beneficial in the lower jaw, where many patients find conventional dentures more difficult to wear.
A bar overdenture is a removable full denture that attaches securely to implants through a custom implant bar with specialized clips or snaps. This design offers enhanced stability and retention, minimizing movement while speaking or eating and helping to preserve the jawbone over time. It provides an excellent balance of affordability, function, and comfort—making it a strong option for edentulous patients. Compared to locator overdentures, the bar design delivers greater strength and durability for those who prefer the convenience of a removable prosthesis but also want the added stability of a reinforced framework.
A hybrid implant restoration—commonly known as an “All-on-4” or “All-on-X”—is a fixed full-arch bridge supported by multiple implants. It combines the strength of a titanium framework with the lifelike beauty of custom-crafted prosthetic teeth. This treatment is ideal for patients missing most or all teeth in a jaw, providing a permanent, non-removable solution that restores natural appearance, full function, and the confidence to smile again. These restorations are typically screw-retained and can be removed by the dentist when necessary, but not by the patient.


Cheekbone implants (zygomatic implants or pterygoid implants) are an advanced option for patients with significant bone loss in the upper jaw who may have been told that traditional implants are not possible. We partner with highly experienced surgeons trained in placing these specialized implants, which we then restore with custom prosthetics. For many patients who once believed their only solution was a conventional denture, this treatment can make fixed, implant-supported teeth a reality.

Frequently asked questions
During a dental implant consultation, we will discuss your specific dental issues and concerns. We will talk about treatment options as they relate to achieving your dental goals. Finally, we will advise you on costs, expected outcomes, and treatment time frames.
Patients often ask us “I have bad teeth. Do I need an implant?” That depends…
Our philosophy is to keep your original, natural teeth, if possible. As long as this does not compromise your health, comfort or esthetic expectations.
Most healthy people who lack teeth are good candidates for dental implants. Implants offer solutions for loose teeth, failed root canals and severe tooth decay. Implant candidates should have healthy gums, and enough bone mass. Frequently a surgeon will place a bone graft (additional bone) to help with implant placement and longevity.
Like natural teeth, implants need a daily brushing and oral hygiene.
Dental implants are one option to replace missing teeth. If the base of the tooth is still healthy enough to support a crown and/or a bridge we recommend keeping the tooth. During a consultation, we can assess your situation. We will address your specific dental issues and concerns. Topics covered also include: your treatment options, treatment steps, costs and time frames.
The majority of patients who have lost one or more teeth are candidates for dental implants. Less suited candidates often suffer from severe gum disease or irreparable bone loss. Our philosophy is to maintain natural teeth whenever practical. Doing so should not compromise health or comfort.
Successful implants need adequate bone material to hold them in place. Patients lacking teeth lose bone mass within months. Some patients will need bone grafting to build enough bone mass. Only adequate bone mass can anchor an implant. Bone material may be inserted 3-4 months before implant placement.
Implant candidates should have completed skeletal growth before getting an implant. This occurs between the ages of 18 and 25. Healthy senior citizens can also receive implants. Older individuals often exhibit somewhat longer healing periods.
Implants, though expensive, are the most cost-effective, long-term treatment option. Well placed and cared for implants can remain intact for 40+years. Data is not yet available to support longer periods of success.
The initial costs of an implant are higher than other treatment options. Yet it is the least costly treatment option in the long term. An implant is the only treatment that preserves bone. It does not compromise the health of adjacent teeth.
In general dental insurance does not cover implants or offers only limited coverage. The cost of one or more implants exceeds the annual limit of most dental insurance policies. If within the scope of your policy we will submit a claim to cover a part of the cost.
The entire implant procedure from placement to restoration can take several months. This allows the patient time to pay as services are delivered. For those seeking financial help, we offer Care Credit. See more under carecredit.com.
A dental implant needs daily brushing, flossing and care like a natural tooth. Well cared for implants can last 40+ years. Practicing proper dental hygiene reduces gum and bone issues. It increases implant stability and longevity.
However, implant longevity depends on the individuals health and oral care.
Initial implant success rates ~ range between 90-98%. Best results depend on proper surgical training, chair-side experience and vetting “qualified” recipients.
We only use original parts of the leading international implant companies. The implant components are warranted and fit snugly together. This promises a long lasting success and durability. The main manufacturers provide standardized parts/tools for placement. Thus, the patient has a higher likelihood of finding a dentist that utilizes the same high quality dental implant materials. The major implant companies provide a warranty on their parts.
Before placing an implant an assessment is made of the underlying bone. Once it has been established that the area can support an implant the next step of the process can begin. Through the gum tissue, access is gained to drill a canal into the bone to precisely the right diameter to hold the implant in place. Threaded implants are screwed into the bone. During the osseointergration phase of 2-4 months the implant connects with the bone, which means the implant can no longer be unscrewed. Then the implant can be restored. Once restored, the physical load of chewing passes through the implant onto the arch. This stresses the bone stimulating it to keep its mass.
Following surgery, you will be prescribed painkillers such as Ibuprofen. Some patients don’t have noticeable discomfort and thus don’t take any painkiller. Mostly discomfort disappears 2 to 3 days following surgery.
Usually, patients can drive themselves home after the placement of a dental implant. This will be discussed during the consultation appointment, before the surgical placement.
The crown on a dental implant should be brushed and flossed like your own teeth. Failure to do so will result in a condition called peri-implantitis. This is the equivalent of periodontitis that can affect poorly maintained natural teeth.This could lead to the failure of an implant.
Once the implant is placed, you will likely see your dentist for a post-surgical appointment. This is to check for infections and that your gums are healing well.
Three to four months later, once healed, the implant is restored. Initially, the implant is uncovered. A determination is made if the implant has healed well and is connected to the bone. If it is ready for “loading” with a tooth, an impression is taken. At the next appointment, the implant crown is placed. This is known as the final restoration.
Successful implants need adequate bone material to hold them in place. In some cases, bone grafting is needed. Bone grafting builds bone mass. This is often achieved with the use of a synthetic bone material. Bone grafting involves a small operation 3-4 months before the implant is placed.