Reconstructive Full Mouth Rehabilitation in Richmond, VA
Restore Function & Aesthetics with Specialist Prosthodontic Care


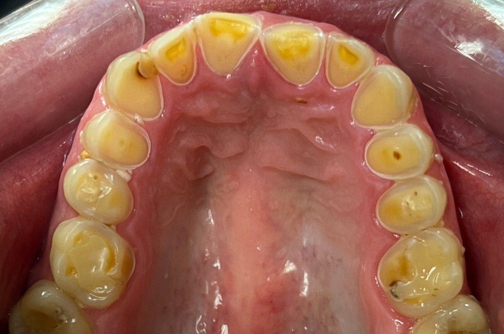
What is a full mouth rehabilitation?
Full mouth rehabilitation is a comprehensive treatment tailored specifically to each patient’s needs. The goal is to restore the health, function, and appearance of the entire mouth—including the teeth, gums, and bite. In many cases, this involves rebuilding or replacing every tooth using a carefully planned combination of advanced dental services.
What treatments may be involved?
Depending on your needs, full mouth rehabilitation may include:
- Dental crowns and bridges
- Dental implants
- Porcelain veneers
- Inlays and onlays
- Fillings and bonding
- Professional-grade teeth whitening
- Orthodontic treatment
- Endodontic therapy (root canal treatment)
The Prosthodontist Advantage Full mouth rehabilitation is highly complex work that goes beyond general dentistry. As specialized prosthodontists, we have advanced, post-graduate training dedicated exclusively to rebuilding broken smiles and restoring complex bite mechanics. We handle the most intricate cases right here in our Richmond office, ensuring you receive the highest level of expert care from start to finish.


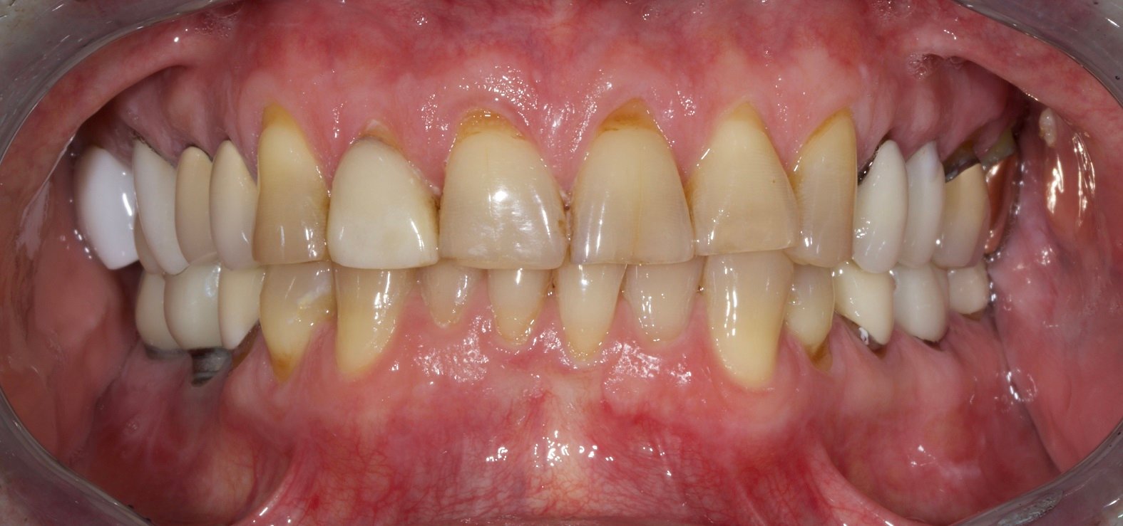
Who is a candidate for A full mouth rehabilitation? Signs You May Need a Full Mouth Reconstruction.
Teeth can be damaged or lost due to decay, trauma, wear, or gum disease.
You may be a candidate if you:
Have multiple missing, severely worn, or fractured teeth.
Suffer from severe tooth wear due to chronic grinding (bruxism).
Struggle with bite mechanics, chronic jaw pain, or TMJ disorders.
Have failing dental restorations (old crowns, bridges, or fillings) that need replacement.
Want to comprehensively restore your oral health, function, and esthetics.
Candidates should be in good overall health, as the process often requires a series of appointments.
Our Step-by-Step Full Mouth Rehabilitative Process
We know that rebuilding your smile is a major decision. Our team guides you carefully through a phased approach to ensure comfort and precision:
Phase 1: Diagnostics & 3D Planning: We utilize advanced imaging to analyze your jaw joints, airway, bite mechanics, and facial aesthetics.
Phase 2: Foundation & Health: Before placing new restorations, we ensure your gums, bone, and roots are completely healthy and free of disease.
Phase 3: Provisional Restorations: You will wear custom-designed temporary teeth. This allows you to “test drive” your new bite and smile before the final fabrication.
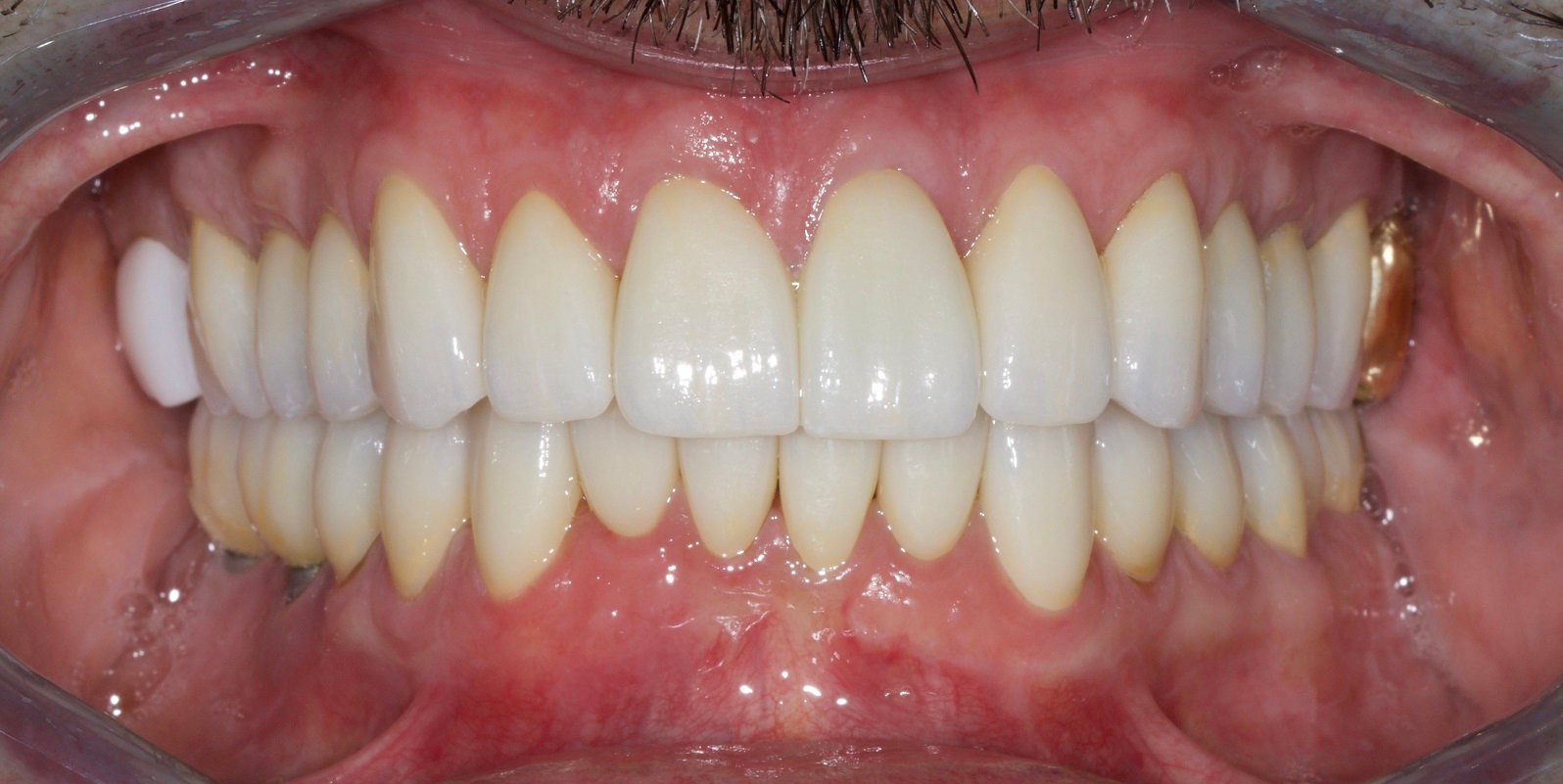
Phase 4: Final Placement: Your permanent, custom-crafted ceramics or implants are meticulously bonded, restoring full function and a natural appearance.
The Outcome
Although full mouth rehabilitation is a complex and multi-step process, the results are life-changing. Patients leave with:
- A fully functioning bite
- Long-lasting oral health
- A natural, beautiful smile designed for comfort and confidence
With proper planning and execution, full mouth rehabilitation can restore not only your teeth but also your quality of life—for decades to come.
